Aesthetic Dental Clinic

An ISO 9001; 2015 Organization

Completing 20 Glorious years of excellence

23/16 , Gariahat Road, Ground Floor, Golpark, Kolkata - 700029, Landmark: Near City College,

Aesthetic Dental Clinic

Completing 20 Years of Delivering Smiles...Thank You Everyone Associated With Aesthetic Dental Clinic for Being with Us in Our Wonderful Journey.

About
Cosmetic Dentistry

1

Cosmetic Dentistry

Cosmetic Dentistry Cosmetic dentistry is concerned with the appearance of teeth and the enhancement of a person's smile. In this field, the emphasis is on the art of dentistry, not just the science. On the surface, creating white teeth, or even whole new teeth in general, may not appear to be that complicated. Yet cosmetic dentistry requires a good eye, a thorough understanding of dental anatomy, and a mastery of dental materials. Beyond that, the dentist must be able to communicate his or her vision to a laboratory technician — a key player in the realization of any smile makeover. Though cosmetic dentistry is not a recognized specialty within the dental profession, it takes years of extensive study and training to be able to perform the many cosmetic dental procedures now available to the highest standards.

If you have stained, broken or uneven teeth, cosmetic dentistry can help. Cosmetic dentistry is different from orthodontic treatment, which can straighten your teeth with braces or other devices.

Cosmetic dental procedures include
• Bleaching to make teeth whiter
• Repairing chips or rough spots with fillings that match your teeth
• Filling cavities with tooth-colored materials
• Reshaping teeth that don't match the others
• Closing gaps between teeth
• Covering broken teeth with porcelain crowns

2

Smile Analysis

Smile AnalysisCosmetic dentistry is one of the most exciting and rewarding aspects of my practice. I believe all dentistry including implants, crowns, bridges and even dentures should be performed with a cosmetic goal in mind. Dental esthetics can be thought of as the science and art of improving and harmonizing smiles in an inconspicuous manner.

There are many ways to analyze your smile. As a first step, you might ask yourself “What would I change about my smile if I had a magic wand?” Another approach we often employ at our office is to take a photo of your smile and view it on a computer. We discuss possible changes and enhancements. Then, using computer imaging, we execute these changes and print “Before and After” photos for our patients to view.



Technical Smile Evaluation


For a technical smile evaluation, you need to forget about the emotion and just look at the facts! This can be done in front of the mirror and should be done in a well-lit area.

• Do you have gaps or spaces in your teeth?
• Do you need to replace any missing teeth?
• Do you have spots on your teeth or any inconsistencies?
• Are your teeth crooked or uneven?
• Are your teeth balanced?
• Do you have old crowns that are dark at the gumline?
• Is your smile gummy?
• Do you have unsightly silver fillings that make your teeth look gray or darker than the rest?

3

Protruded Teeth

'Protruded teeth' is the medical / orthodontic term for what is known in common parlance as 'buck teeth', namely where the front teeth at the top jut out from the mouth.

Protruded TeethProtruded teeth can be simply genetic (or inherited) or can be caused by activities such as continued thumb sucking after age three.

Having protruded teeth may make them more prone to damage and injury, and may cause problems with speaking and eating, and can look unattractive.

Appropriate orthodontic treatment for protruded teeth will depend on the exact causes and the person's age. Most orthodontic treatment is more effective after adult teeth have come through, which is at 11-13 years of age, although some treatment can be started as early as age 8-9.

4

What causes a Gummy Smile and can it be fixed?

A gummy smile, known as excessive gingival display in doctor speak, is when you smile and too much gum tissue shows above the top teeth. Patients who visit Moon Orthodontics concerned about a gummy smile often say it makes them feel self-conscious or that their smile seems less attractive. Well, we have good news. A gummy smile can be fixed. Though the type of treatment will depend on what’s causing the excessive gingival display, once we figure out the source, we can work on creating a gorgeous, healthy grin.



What is a Gummy Smile ?


Gummy SmileYou might be surprised to hear that there isn’t a set definition of a gummy smile and it’s mainly based on perception. You likely know a gummy smile when you see one. In fact, there have been studies done to determine what people consider excessive gingival display. In most cases, subjects rated smiles as attractive when two millimeters or less of gum tissue was exposed. At around three millimeters or more, the smile was thought to be gummy. Interestingly, the condition is more common in women than men. Some experts predict that about 14% of women and 7% of men have excessive gingival display.



What causes a Gummy Smile?


There are a number of causes of a gummy smile, however, the most common ones are:

• Teeth that appear short because they erupted improperly and remain partially covered by gum tissue
• Teeth that are small in comparison to the gums due to genetics or wear
• An upper lip that is too short
• A hyperactive upper lip that is normal in length when the face is resting but lifts too high when smiling exposing a lot of gum tissue
• Gums that are long or enlarged, known as gingival hypertrophy
• An overgrowth of the upper jaw, called vertical maxillary excess, that makes gums bulge out

5

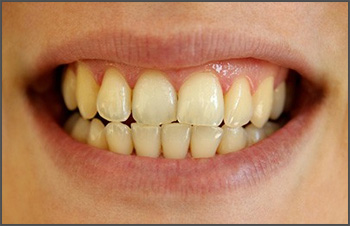
Tooth Discolorization

Why do I have yellow teeth?

Part of this has to do with the thickness of your enamel, which is semi-translucent. That is, if you have thin enamel, the true color of your naturally yellowish dentin will shine through. Similarly, your enamel thins as you age, making your teeth appear more yellow. This can also cause sensitivity problems in teeth.




Is yellow teeth good?

The strongest teeth are natural, healthy ones and these teeth are not white. The enamel itself is a blueish white colour, but it is also somewhat translucent so theyellow of the dentine beneath it shows through to make the overall colour of theteeth either light grey or light yellow.




Can you get yellow teeth white again?

Tooth DiscolorizationEven with regular brushing and flossing, it can be hard to avoid the gradual graying the teeth undergo. Likewise, if you have poor oral health habits, your teeth can rapidly turn yellow, brown or even black. However, that doesn't mean that you can't get your teeth white again by whitening them yourself.

What causes teeth to turn yellow?

Smoking or chewing tobacco can stain teeth. Poor dental hygiene. Inadequate brushing, flossing, and rinsing with an antiseptic mouthwash to remove plaque andstain-producing substances like coffee and tobacco can cause tooth discoloration.



How do you prevent yellow teeth?

Tips to Prevent Tooth Discoloration After TEETH WHITENING
1. Avoid stain-causing foods and beverages – coffee, tea, wine, sports drinks, hard candy, berries and tomato sauce are all foods that can cause tooth discoloration.
2. Use a straw – when drinking beverages, use a straw to keep stain-causing dyes away from your teeth.



What causes stains on your teeth?

Extrinsic — This occurs when the outer layer of the tooth (the enamel) is stained. Coffee, wine, cola or other drinks or foods can stain teeth. Smoking also causesextrinsic stains. Intrinsic — This is when the inner structure of the tooth (the dentin) darkens or gets a yellow tint.

6

Closing the Gap between Teeth

Closing the Gap between TeethThe space between front teeth can be closed with bonding, this is the most economical and conservative approach.

However, over time the bonding can discolor and will need to be replaced. Need to keep in mind also that the teeth will become wider and a mock-up prior to placing the bonding permanently can give the patient a better idea how things will look. The gap can also be closed with veneers, but it is more costly, requires two appointments and will be more drilling on the teeth. Can not stress the importance of mock-up for more accurate evaluation of the size and shape of the teeth for a more successful outcome.

7

Teeth Whitening

How does Teeth Whitening work?

Teeth whitening is a simple process. Whitening products contain one of two tooth whitening elements. These elements break stains into smaller pieces, which makes the color less concentrated and your teeth brighter.



Why did my teeth change color?

Teeth WhiteningOver time, your teeth can go from white to not-so-bright for a number of reasons:

Food and Drink
Coffee, tea and red wine are some major staining culprits. What do they have in common? Intense color pigments called chromogens that attach to the white, outer part of your tooth (enamel).

Tobacco Use
Two chemicals found in tobacco create stubborn stains: Tar and nicotine. Tar is naturally dark. Nicotine is colorless until it’s mixed with oxygen. Then, it turns into a yellowish, surface-staining substance.

Age
Below the hard, white outer shell of your teeth (enamel) is a softer area called dentin. Over time, the outer enamel layer gets thinner with brushing and more of the yellowish dentin shows through.

Trauma
If you’ve been hit in the mouth, your tooth may change color because it reacts to an injury by laying down more dentin, which is a darker layer under the enamel.

Medications
Tooth darkening can be a side effect of certain antihistamines, antipsychotics and high blood pressure medications. Young children who are exposed to antibiotics like tetracycline and doxycycline when their teeth are forming (either in the womb or as a baby) may have discoloration of their adult teeth later in life. Chemotherapy and head and neck radiation can also darken teeth.

8

Cosmetic Dentistry

Cosmetic DentistryCosmetic dentistry is a method of professional oral care that focuses on improving the appearance of your mouth, teeth and smile. And although cosmetic dentistry procedures are usually elective, rather than essential, some cases of treatment also provide restorative benefits. The most common procedures used in cosmetic dentistry are fairly simple, whereas others are more complex and require specialized care.



Five Types Of Cosmetic Dentistry Procedures

• Inlays and Onlays
• Composite Bonding
• Dental Veneers
• Teeth Whitening
• Implants

9

Aesthetic Dentistry

A great smile can not only capture the attention of others, it can also increase your self-confidence and overall quality of life. But if you are embarrassed about some little quirk like a chip or a space, or if you have a mouth of crooked teeth or several missing, your smile may be limiting your success. This is where aesthetic dentistry can help.

Aesthetic Dentistry Aesthetic Dental Clinic, our talented dental team has the technology, training and experience to help you achieve the smile of your dreams. We will work with you to develop a treatment plan to best meet your dental needs and price range. Some of the procedures we offer include:

• Smile makeovers
• Porcelain veneers
• Full mouth restoration
• Tooth whitening
• Dental implants
• Dental crowns
• Dental bonding
• Tooth-colored fillings
• Porcelain inlays and onlays
• Gum recontouring
• Dental bridges
• Dentures and partials
• Periodontal therapy
• BOTOXฎ Cosmetic