Aesthetic Dental Clinic

An ISO 9001; 2015 Organization

Completing 20 Glorious years of excellence

23/16 , Gariahat Road, Ground Floor, Golpark, Kolkata - 700029, Landmark: Near City College,

Aesthetic Dental Clinic

Completing 20 Years of Delivering Smiles...Thank You Everyone Associated With Aesthetic Dental Clinic for Being with Us in Our Wonderful Journey.

About
Cosmetic Dentistry

1

Single Tooth Implants

Single-tooth implants can be used in people who are missing one or more teeth. An implant is surgically placed in an opening that your dentist makes in the jawbone. After the implant integrates (attaches) to your bone, it acts as a new "root" for the crown that will replace your missing tooth. A crown (cap), which is made to look like a natural tooth, is attached to the implant and fills the space left in the mouth by the missing tooth.

single implantFor this procedure to work, there must be enough bone in the jaw. The bone has to be strong enough to hold and support the implant. If there is not enough bone, it may need to be added with a procedure called bone augmentation or bone grafting. In addition, natural teeth and supporting tissues near where the implant will be placed must be in good health.



How Do They Work?

An implant-restored tooth consists of several parts.

• The implant, which is made of titanium, is placed in the upper or lower jawbone.
• The abutment can be made of titanium, gold or porcelain. It is attached to the implant with a screw. This part connects the implant to the crown. It is shaped like a natural tooth that has been cut down to receive a crown.

The restoration (the part that looks like a tooth) is a crown. It usually is made of porcelain fused to a metal alloy (PFM). It also can be all metal or all porcelain. The crown is screwed or cemented onto the abutment. If the crown is screwed to the abutment, the screw hole will be covered with restorative material such as tooth-colored filling material (composite)

2

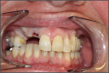
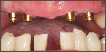
Multiple Dental implants

Dental implants are artificial tooth roots that provide a permanent base for fixed, replacement teeth. Compared to dentures, bridges and crowns, dental implants are a popular and effective long-term solution for people who suffer from missing teeth, failing teeth or chronic dental problems. Because they fit, feel and function like natural teeth, dental implants are quickly becoming the new standard in tooth replacement.

multiple implantWhat makes dental implants feel completely comfortable and secure? ClearChoice doctors use a medical-grade titanium implant fixture that, over time, actually fuses to the living bone cells of the jaw. This union forms a strong and durable anchor for your new teeth, meaning there’s no slippage or other movement (which can sometimes happen with dentures). There are also no problems eating with dental implants, no need to repair them regularly and no more worrying about smiling freely and openly.

Dental implants typically have three parts:

1) The implant: A screw that serves as a root for your new teeth. This is what permanently attaches to your jaw.

2) The abutment: A permanent, but removable by your doctor, connector that supports and holds a tooth or set of teeth.

3) The crown (or prosthetic tooth): This is the part of the tooth that you can see. It’s usually made of zirconium or porcelain for durability and good looks.

3

Full Mouth Reconstruction

Full mouth reconstruction, rehabilitation and restoration are terms often used interchangeably to describe the process of rebuilding or simultaneously restoring all of the teeth in both the upper and lower jaws.

full mouth reconstructionFull mouth reconstruction typically involves general or restorative dentists (performing procedures like crowns, bridges and veneers), and can incorporate dental specialists like periodontists (specializing in the gums), oral surgeons, orthodontists (specializing in tooth movements and positions) and endodontists (specializing in the tooth pulp).

The need for full mouth reconstruction may result from:
• Teeth that have been lost due to decay or trauma.
• Teeth that have been injured or fractured.
• Teeth that have become severely worn as a result of long-term acid erosion (foods, beverages, acid reflux) or tooth grinding.
• Ongoing complaints of jaw, muscle and headache pain requiring adjustments to the bite (occlusion).

4

All on 4 Dental Implants

When it has become inevitable that you are unable to keep most, if not all, of your original teeth, there are several options that you may wish to consider. In the past, the dentist would prescribe dentures as an option of last resort. However, in many cases, traditional dentures provide limited success as a teeth replacement option. Not only do they tend to be ill-fitting and cumbersome as a removable device, their instability makes chewing food difficult.

Enter All-on-4 – The revolutionary implant system that gives you the functionality and bite quality that you would expect from natural teeth. With this unique dental implant innovation, you no longer have to avoid certain types of food just because your denture cannot handle the chew or crunch.

All on 4 makes it possible for you to replace a full set of teeth with a simple, effective and reliable solution. It does away with lengthy and complex procedures for conventional implants. This advanced method uses specially designed dental implants that provide a strong anchor for your replacement teeth. It provides complete rehabilitation for your tooth loss condition with a fixed and fully customizable dental bridge. In short, All on 4ฎ can turn your toothless grin into the beautiful smile that you’ve always wanted!

5

Overdenture for Teeth

What is an overdenture?

An overdenture is defined as a removable partial denture or a complete denture that covers and rests on one or more remaining natural teeth, the roots of natural teeth, and/or dental implants.

It is also known as overlay denture, hybrid prosthesis, telescoping denture or tooth supported denture.




Advantages of overdentures

overdentur• Equally effective and superior method of treatment, especially in patients with inborn defects (for example cleft palate and microdontia)
• Simplicity of construction
• Ease of maintenance
• Stability due to retained roots or implants
• Retention
• Open palate possible
• Excellent patient acceptance
• Possibility of using attachments or soft liners
• Transitional or training denture in preparation for receiving a complete denture
• Ease of cleaning
• Proprioceptive ( the ability to detects motion or position) response
• Distribution of forces of mastication

6

Computer Guided/ Stent Guided

Benefits:
• Predictable implant planning, considering surgical and prosthetic aspects
• Comprehensive 3D-communication with the patient
• Optimal team communication
• Predictable results lead to cost efficiency
• More precise implant placement
• Immediate temporary restoration, ready prior to surgery – Immediate Smile concept
• Compatible with implants from more than 100 brands, as well as all DICOM compatible (CB) CT scanners and major optical and intraoral scanners
• Dental planning software with more than 17 years' experience

7

Sinus Augmentation

What is involved in a bone graft?

A bone graft is a surgical procedure used to fix problems with bones or joints.Bone grafting, or transplanting of bone tissue, is beneficial in fixing bones that are damaged from trauma, or problem joints.



What is a ridge augmentation?

A ridge augmentation is a common dental procedure often performed following a tooth extraction to help recreate the natural contour of the gums and jaw that may have been lost due to bone loss as a result of a tooth extraction, or for another reason.



sinus augmentation


What is a sinus lift?

A sinus lift is surgery that adds bone to your upper jaw in the area of your molars and premolars. It's sometimes called a sinus augmentation. The bone is added between your jaw and the maxillary sinuses, which are on either side of your nose.



What do they do for sinus surgery?

Endoscopic surgery may be done to remove small amounts of bone or other material blocking the sinus openings or to remove growths (polyps). Normally, a thin, lighted tool called an endoscope is inserted through the nose so the doctor can see and remove whatever is blocking the sinuses.

8

Dental Implants: Everything you need to know about dental implants

a) Dental implants allow you to enjoy life without worrying about your teeth!
There is no need for you to stay home or feel uncomfortable in public, embarrassed because your smile looks different, or worry that missing teeth will limit your ability to join in the fun. And you certainly don't need to worry like you do with removable dentures or tooth-supported replacement teeth could loosen or fall out when you talk, eat or laugh. Teeth restored with dental implants are teeth that let you, not your teeth, lead your life.

b) Dental implants retain your natural face shape, and smile.
A face without teeth can sag and appear sunken and sad. Dental implants allow you to maintain the natural shape of your face and smile. It's important to talk to a tooth replacement expert before you consider any other option because some other tooth replacement options have the side effect of allowing your appearance to change over time, which may not be attractive.