Completing 20 Years of Delivering Smiles...Thank You Everyone Associated With Aesthetic Dental Clinic for Being with Us in Our Wonderful Journey.
Do I need to get my cavities filled?
Early decay doesn't always mean you need a filling. In fact, the decay often can be reversed. A tooth starts to decay because acid in your mouth causes minerals to leach out of the enamel, and the enamel breaks down. If there's no cavity and no pain, the tooth can fix itself.
Which filling is best for teeth?
Today, several dental filling materials are available. Teeth can be filled with gold; porcelain; silver amalgam (which consists of mercury mixed with silver, tin, zinc, and copper); or tooth-colored, plastic, and materials called composite resin fillings.
How long do composite fillings last?
With more durable resin material available for only a decade, resins haven't stood the test of time in teeth where grinding and chewing result in heavy wear; by contrast, the durability of amalgam fillings is well documented the average life span of amalgams is 8 to 10 years, but many last 20 years or more
What is in a temporary filling?
If your dentist is filling a cavity, you could get a temporary filling before you get the permanent one. ... A temporary filling is a filling that has been placed to seal a tooth until a final filling can be placed. It is generally a soft material that has been placed into the tooth to fill a broken area or area of decay.
How long does it take to recover from a root canal?
Most people assume that a recently-treated tooth is going to take weeks or months to heal. The fact is that most people don't feel pain or notice any difference in how they feel 48 to 72 hours later, though some teeth may take longer.
Can you eat after a root canal?
Your tooth may continue to feel slightly different from your other teeth for some timeafter your root canal treatment has been completed. However, if you have severepain or pressure that lasts more than a few days, contact your endodontist. Do noteat anything until the numbness in your mouth wears off.
Do I need a root canal?
If the cause of your teeth pain is serious decay or infection in the tooth pulp, your dentist may recommend a root canal. A root canal is a multi-step dental procedure that involves removing the infected tooth pulp (and sometimes the nerve) from a tooth, and sealing it to protect against future teeth pain.

Why does my tooth hurt after a root canal?
When there is inflammation and swelling caused by a sick tooth, this ligament can also be swollen and sick. It takes some time for that swelling to reduce and the tissue be normal again after the root canal is completed. That is likely the cause of her pain and after several days it should feel much better.
Is it painful to get a root canal?
When people are told that they need a root canal treatment, they usually think about pain. However, the pain they feel is caused by an infection in the tooth, not byroot canal treatment. ... The root canal procedure itself is painless. A local anesthetic numbs the tooth and the surrounding area.
What happens when you have a root canal?
A root canal is a treatment used to repair and save a tooth that is badly decayed or becomes infected. During a root canal procedure, the nerve and pulp are removed and the inside of the tooth is cleaned and sealed. Without treatment, the tissue surrounding the tooth will become infected and abscesses may form.
Each of these restorations can come in a variety of materials including metal, porcelain and metal, and ceramic. Traditionally, these restorations are fabricated in a lab and returned to the dentist for final cementation. Inlays may replace an existing large filling and sit inside of the tooth. Onlays are similar to crowns in that the fit around the outside of a portion of the tooth, though they will not cover the entirety of the tooth. Crowns will cover the majority of the tooth and are typically necessary when very large fillings are present or in cases where a tooth has undergone root canal therapy. Bridges replace a missing tooth by crowning the teeth next to the empty space and creating an artificial tooth or teeth between the two crowns. In many cases, bridges are an alternative to partials and implants.
INLAYS & ONLAYS
Over time, fillings may need to be replaced due to recurrent decay, fracture or old age. When older fillings are large, there is always a concern that teeth will no longer be strong enough to withstand the ordinary daily forces of chewing, clenching and grinding. If these forces become too great, teeth can break or fracture.
All ceramic inlays and onlays are porcelain restorations that can replace existing old fillings, broken fillings or metal fillings. By bonding a restoration to your natural remaining tooth structure, it can be made whole again. Inlays and onlays are essentially the same type of restoration but named differently because of the size of the restoration. Inlays are placed within the walls of a tooth, while onlays extend over the sidewall of a tooth.
We recommend inlays and onlays whenever possible. They do a better job of preserving the bite with which you have chewed for most of your life.
CROWNS
A crown is essentially a porcelain cap that covers the entire tooth, strengthening it and restoring it to its former beauty. Crowns used to be made of metals, including gold, but modern dentistry has produced superior ceramic crown materials such as dilithium silicate.
Crowns are often the recommended treatment to restore root canal-treated teeth, and for teeth that have very large fillings. When a tooth becomes weak enough to require a crown, the filling and any underlying decay must be removed, and the tooth prepared for a cap to be cemented over top. Preparing a tooth for a crown is an invasive procedure that results in a loss of healthy tooth structure as well as a reduction of all functional cusps of a tooth. This gives you a new bite to which you must adjust. Even the best lab technician in the world cannot create the exact bite that you have been used to.
90% of the time inlays and onlays are better alternatives to crowns. They involve the removal of the existing filling, preserving the good tooth structure while maintaining the existing bite with which you have chewed for most of your life.
What are dental veneers?
Dental veneers, also known as porcelain veneers or composite veneers are thin shells of tooth-colored, translucent porcelain or composite resin, custom made to fit over teeth and improve their color, shape and overall appearance. Placement of dental veneers can dramatically improve your smile and appearance.
What types of problems can dental veneers correct?
Placement of dental veneers is sometimes referred to as instant orthodontics because they can be used to cover a variety of dental problems involving teeth in the smile zone including:
Spaces between the teeth.
Poorly shaped or crooked teeth.
Broken or chipped teeth.
Permanently externally stained and/or internally stained teeth.
Unsightly or stained fillings.
Dental veneers can improve the appearance of the teeth but they cannot realign the jaw or correct overbites and underbites. Orthodontics are required to correct these more complicated problems.
What are the alternatives to dental veneers?
The closest conservative cosmetic alternative to porcelain veneers is composite resin. Composite resin is a tooth-colored filling material that may be used to form dental veneers. Dental crowns may also be used to correct the same problems that dental veneers correct, however it is a much less conservative procedure.
What are the advantages of porcelain veneers?
Porcelain veneers have several advantages compared to composite resin including:
Porcelain veneers are very durable. Although porcelain veneers are very thin, usually between 0.5 0.7 millimeters and inherently brittle, once bonded to healthy tooth structure it becomes very strong. Porcelain veneers can last for many years, usually 10-15 years, if you take good care of them using good oral hygiene and avoiding using them to crack or chew hard objects like ice.
Porcelain veneers create a very life-like and natural tooth appearance. The translucent properties of the porcelain allows the veneers to mimic the light handling characteristics of enamel giving it a sense of depth which is not possible with other cosmetic bonding materials such as composite resin.
Porcelain veneers resist staining. Unlike other cosmetic dental bonding materials, porcelain is a smooth, impervious ceramic and therefore will not pick up permanent stain from cigarette smoking or from dark or richly colored liquids or spices.
Porcelain veneers are conservative. Only a small amount of tooth structure is removed, if any during the procedure.
What are the disadvantages of porcelain veneers vs. composite resin veneers?
The major disadvantages of porcelain veneers over composite resin include the following:
Porcelain veneers are not made at chairside. Porcelain veneers are fabricated in a dental laboratory and therefore require at least two visits. Composite resin veneers are accomplished in one visit. An adequate amount of tooth structure is removed to allow for placement of composite resin in the desired shape without added tooth bulk. Bonding agent is applied. Composite resin is then added, light cured, then finished and polished.
Porcelain veneers are more expensive than composite veneers. The placement of veneers requires more time, expertise and resources in order to fabricate and bond and therefore cost more.
Porcelain veneers cannot be repaired. If they break porcelain veneers must be replaced.
Are you a good candidate for dental veneers?
Dental veneers are not appropriate for everyone or every tooth. Case selection is an extremely important factor in the success of this technique. Veneering teeth is not a reversible procedure if tooth structure must be removed to achieve your desired result Only an examination by your dentist can determine whether dental veneers are appropriate for making the changes you want. Some of the situations where certain teeth or people are not good candidates for dental veneers include:
Unhealthy teeth. Dental decay and active gum disease must be treated prior to fabricating and bonding dental veneers.
Weakened teeth. If a significant amount of tooth structure is missing or has been replaced by a large filling the teeth will not be strong enough to function with a dental veneer.
Teeth with an inadequate amount of enamel present. Dental veneers are more successfully bonded onto tooth enamel.
People who habitually clench or grind on their teeth. Habitual clenching and grinding of the teeth can easily chip or break dental veneers. Dental nightguards may be a solution for this in some cases.
Persons without a stable bite.
Severely malpositioned teeth or misaligned teeth. Orthodontic treatment may be required to achieve the desired result.
What is Involved in Obtaining Porcelain Veneers?
Usually two visits are required. The first visit may take between one to two hours. During this visit:
Your teeth are examined, your desires and expectations are discussed and your color shades are selected. It is critical that you take an active role in this smile design process. The size and shape of your teeth will be discussed. Also the corrective limitations of porcelain veneers will be discussed.
Your teeth may be prepared for porcelain veneers by trimming the enamel from the front and biting edge your teeth to accommodate the added thickness of the veneers so they can fit over your teeth without added bulk. Typically 0.5 0.7 millimeter of enamel will be removed.
An impression will be taken to make an exact replica of your teeth. This impression will be used to make a model upon which your porcelain veneer will be custom made.
Temporary veneers may or may not be placed upon your teeth, depending upon the amount of tooth structure removed and kind of changes being made.
The second visit may also take between one to two hours. During this visit:
Temporary veneers, if present, will be removed.
The fit of the porcelain veneers will be evaluated by the doctor and then by you. This is a time for you to check the shape and color, fit and feel of the veneers to see if they meet your expectations before they are bonded to your teeth. We can make any changes you want before they are bonded to your teeth. Once porcelain veneers are bonded it is best not to adjust them.
Once you approve of your veneers your teeth will be cleaned with a mild acidic solution. A tooth-colored, bonding adhesive is applied to the teeth and veneer then dried and hardened (bonded) to your teeth with a curing light .
Once they are bonded any excess cement will be removed, your teeth will be flossed and your veneers will be polished.
What Care is Required to Maintain Dental Veneers?
Dental veneers can chip or come off if not cared for properly. To improve their durability and longevity you need to maintain consistent good oral hygiene and have regular dental examinations and cleanings at least twice each year. In addition, you must avoid using them to bite or crack hard objects like nuts and ice.
Art, It is a word with many meanings. The music of a symphony, the work of painters and sculptors all are examples of culture and artistry. We believe that dentistry is also an art form What is more beautiful than the lovely smile celebrated by artists down through the ages. At Aesthetic Dental Clinic, we have created a dental practice dedicated to making your smile as beautiful as possible. Through the use of computer imaging, we can let you see what we can do to make your smile more attractive. All porcelain crowns, ceramic veneers, and tooth whitening can all help change your smile to one that makes you look more attractive and confident.
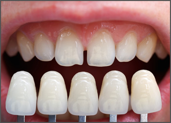
Porcelain Veneers
Porcelain veneers are routinely used to cover teeth which are discolored, worn, chipped, or misaligned. Porcelain veneers, often alternatively termed dental veneers or dental porcelain laminates, are wafer-thin shells of porcelain which are bonded onto the front side of teeth in order to cosmetically improve their appearance. Typically veneers are difficult to stain, making veneers a very popular solution for many people seeking that perfect smile. Strong and very durable, veneers last from ten to fifteen years, and come in colors that will brighten dark teeth without the worry of them changing color.
Bonding
Composite bonding can work wonders for your smile. Using materials that match the shade, translucency and the texture of your teeth, gaps between teeth can be closed, spots and discolorations can be eliminated, and your self-confidence can be enhanced through the improved appearance of your smile. Composite bonding is excellent for small defects in the teeth -- spots, chips, or gaps between teeth. For smile alterations involving an entire tooth or multiple teeth, porcelain is the material of choice. Bonding for teeth involves the use of composite resin tooth-colored filling material. This material can be used on the anterior (front) teeth or posterior (back) teeth. The procedure is sometimes referred to as bonding is because an adhesive agent is used to actually bond the resin to the tooth structure.
Tooth Colored Fillings & Inlays
Tooth-colored fillings and inlays replace the gold and silver of the past with natural looking materials. In the 1970's, "white fillings" came into common use. These "tooth-colored fillings" were made of a plastic dental resin filled with microscopic filler particles and were called composites. When dental composites were first introduced, they could only be used in the front teeth, because they weren't strong enough to withstand the chewing pressure of the back teeth.
The composites of today have been vastly improved over the ones developed nearly forty years ago. They are strong, durable, and attractive.
All Ceramic Crowns
It might come as a surprise, but 'all-ceramic' crowns or 'cap', have been around for most of the past century. These restorations have no metal and are totally made of ceramic glass sometimes strengthened with a translucent material such as zirconium. They have always been a highly desirable cosmetic solution for front teeth even without the availability of modern bonding. Incorporating bonding with all-ceramic crowns can have the strength and beauty of unblemished natural teeth. Today teeth that have too much damage to be corrected with fillings or veneers can still be made white and natural with all ceramic crowns.
5What are Dentures?
Dentures are replacements for missing teeth that can be taken out and put back into your mouth. While dentures take some getting used to, and will never feel exactly the same as one's natural teeth, today's dentures are natural looking and more comfortable than ever.
There are two main types of dentures: full and partial. Your dentist will help you choose the type of denture that's best for you based on whether some or all of your teeth are going to be replaced and the cost involved.
Benefits
Replacing missing teeth will help to improve your appearance and smile. Without support from the denture, facial muscles sag, making a person look older. Dentures can help you eat and speak more comfortably.
How do Dentures Work?
With full dentures, a flesh-colored acrylic base fits over your gums. The base of the upper denture covers the palate (the roof of your mouth), while that of the lower denture is shaped like a horseshoe to accommodate your tongue.
Dentures are custom-made in a dental laboratory from impressions taken of your mouth. Your dentist will determine which of the three types of dentures described below is best for you.
Conventional Full Denture
A conventional full denture is placed in your mouth after any remaining teeth are removed and tissues have healed. Healing may take several months, during which time you are without teeth.
Immediate Full Denture
An immediate full denture is inserted immediately after the remaining teeth are removed. (Your dentist takes measurements and makes models of your jaw during a prior visit.) While immediate dentures offer the benefit of never having to be without your teeth, they must be relined several months after being inserted. The reason is that the bone supporting the teeth reshapes as it heals, causing the denture to become loose.
Partial Denture
A partial denture rests on a metal framework that attaches to your natural teeth. Sometimes crowns are placed on some of your natural teeth and serve as anchors for the denture. Partial dentures offer a removable alternative to bridges.
How Long Before I Get Used to My Dentures?
New dentures may feel awkward or uncomfortable for the first few weeks or even months. Eatingand speaking with dentures might take a little practice. A bulky or loose feeling is not uncommon, while the muscles of your cheeks and tongue learn to hold your dentures in place. Excessive saliva flow, a feeling that the tongue does not have adequate room, and minor irritation or soreness are also not unusual. If you experience irritation, see your dentist.
How Long do Dentures Last?
Over a period of time, your denture will need to be relined, remade, or rebased due to normal wear. Rebasing means making a new base while keeping the existing denture teeth. Also, as you age, your mouth naturally changes. These changes cause your dentures to loosen, making chewing difficult and irritating your gums. At a minimum, you should see your dentist annually for a checkup.
Oral Care Tips for Dentures
Don't let dentures dry out place them in a denture cleanser soaking solution or in plain water when you're not wearing them. Never use hot water, which can cause dentures to warp.
Brush your dentures brushing dentures daily will remove food and dental plaque, and help prevent them from becoming stained.
Take care of your mouth brush your gums, tongue and palate every morning with a soft-bristled brush before you insert dentures. This stimulates circulation in your tissues and helps remove plaque.
Consult your dentist see your dentist if dentures break, chip, crack or become loose. Don't be tempted to adjust them yourself this can damage them beyond repair.
When handling your dentures, stand over a folded towel or basin of water. Dentures are delicate and may break if dropped.
Don't let your dentures dry out. Place them in a denture cleanser soaking solution or in plain water when you're not wearing them. Never use hot water, which can cause them to warp.
Brushing your dentures daily will remove food deposits and plaque, and help prevent them from becoming stained. An ultrasonic cleaner may be used to care for your dentures, but it does not replace a thorough daily brushing.
Brush your gums, tongue and palate every morning with a soft-bristled brush before you insert your dentures. This stimulates circulation in your tissues and helps remove plaque.
See your dentist if your dentures break, chip, crack or become loose. Don't be tempted to adjust them yourself this can damage them beyond repair.
Even with regular and proper brushing and flossing, plaque and tartar will still build up over time. Saliva in our mouths contains calcium and bacteria. Dental plaque is a soft film enveloping teeth which consists of thousands of different types of bacteria embedded in a matrix of proteins, sugars and lipids. Calcified (hardened) dental plaque is known as tartar. Brushing and flossing may remove some plaque but is unable to remove accumulated tartar.
Scaling
Scaling removes plaque and tartar and polishing removes stains and remaining plaque while smoothening and shining teeth so that dental plaque cannot attach easily to tooth surfaces.
Polishing
Polishing may then be followed by a fluoride gel or foam treatment to reduce post-scaling sensitivity and reduce the risk of tooth decay.
Dental scaling and polishing
Dental scaling and polishing is recommended to prevent tooth decay and gum disease, and may be necessary every six months depending on the oral condition of a patient. As infections and diseases can spread from the mouth to the rest of the body, affecting general systemic health, it is important to maintain good oral health and hygiene.
Scaling and Polishing of the teeth, commonly known as tooth cleaning . It is done for the purpose of cleaning of teeth and roots beggings , it involves removing tartar layer and plaque developed on the teeth in the course of time. At Dr. Ehabs Dental Clinic Dubai, it is done by various ways using safe and excellent equipment. We know how important your teeth are for your sound health and your smile.
The Ultrasonic instrument is one of the main instruments used at our dental clinic for scaling process. This equipment removes the tartar layer from the teeth by knocking it out using ultrasonic vibrations. The tool emits a sound with a loud pitch. You may hear this sound little louder than usual because of its direct effect on your ear but you need not to worry about this. If you feel any uneasiness because of the sound, feel free to tell it directly to our dentist who will do his best to make you comfortable enough.
After the cleaning of the teeth, our best dentist in Dubai will use prophy jet to polish any stains on your teeth then a slow speed hand piece is used with a soft rubber cup which keeps on spinning at the end in order to smoothen the enamel using a tooth paste like gel called prophylaxis which comes in various flavours is scooped up in this soft rubber cup to make the teeth smoother. The final thing that the dentist will do is the application of fluoride on your teeth. You will love this step since the fluoride comes in various flavours like pino-colada, watermelon, cherry, strawberry, mind, chocolate etc.
The process of scaling and polishing is extremely safe and is a very pain-free process. In fact, it is recommended to have your teeth cleaned once in every 6 months for optimum oral hygiene.
Gingivitis or periodontal disease begins with bacterial growth in your mouth. If not properly treated, tooth loss due to destruction of the tissue that surrounds your teeth may occur.
In the early stage of gingivitis, bacteria in plaque build up causes inflamed gums and bleeding during tooth brushing. Periodontitis involves the destruction of the supporting structures of teeth where the inner layer of the gum and bone starts to recede from the teeth and form pockets of small spaces, allowing even more bacteria to collect. Infection sets in and bones, gums and connective tissue are destroyed.
Minor Gum Surgery
For patients with deep pockets and gum inflammation, initial non-surgical treatment may not suffice. A minor gum surgery may be performed to remove residual tartar in deep pockets or to reduce it in order to make it easier to keep the area clean. If periodontitis destroyed bone or gum tissue, a bone or tissue graft or special material may be recommended to replace or encourage new bone or gum tissue to grow.
8
Children Dentistry is the provision of oral health care for children from birth to adolescence. Dental care for children is both restorative and preventive. Emphasis is given to prevention and early interception of oral diseases.
To achieve optimal care and as young children may feel apprehensive, our friendly dentists are trained to coax them and provide painless treatment.
Raffles Dental Children Dentistry services include:
Fillings and extractions
Root canal treatment of primary teeth and crowns
Preventive treatment: sealants, fluoride therapy
Braces
Management of primary teeth injuries
Caries risk assessment
Dental treatment for children with special needs
Infant oral health
Pain control treatment: local or general anaesthesia